你家宝宝涂氟了吗?
什么是涂氟
顾名思义就是将氟保护剂涂在牙齿表面,形成一层可长期停留在牙齿表面的保护膜,不断地向牙齿缓慢、持续地释放氟离子,起到预防蛀牙的效果。

牙医为什么建议给孩子涂氟?
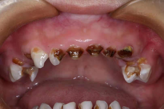
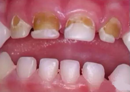
龋齿(即蛀牙)是儿童期最常见的慢性疾病,根据WHO资料显示,全世界60%~90%的学龄儿童患有龋齿。龋齿如果不及时治疗,会继续发展形成龋洞,破坏牙冠、最终导致牙齿脱落。而且龋齿的影响远不止口腔,中度或重度龋齿可能影响营养和生长发育,尤其是幼儿龋齿还可导致严重的牙源性感染;龋齿引起的疼痛可能导致孩子注意力无法集中...
总之,忽视龋齿问题可能给孩子的健康、生活、学习等带来不良的影响,所以预防龋齿变得尤为重要。涂氟能够预防龋齿,巩固牙齿;修复初期的龋齿,补充已经流失的牙表面矿物质;抑制细菌增长。涂氟,就是一种安全有效、简单可靠的预防龋齿的方法。
根据美国儿童牙科学会的建议:从宝宝长牙开始,就可以每间隔3-6个月进行定期涂氟(一般临床医生会根据宝宝的患龋风险来判断涂氟的具体时间)如:已经有蛀牙、没有蛀牙但牙齿清洁不好、频繁夜奶等患龋风险高的儿童,建议三个月涂一次;没有蛀牙且没有蛀牙高危因素的儿童建议六个月涂一次。如有必要涂氟可持续到青少年时期。


牙齿涂氟必须由专业口腔医生进行。牙医会在清洁牙齿后用一把小刷子把氟化物涂到牙齿面,然后氟化物会迅速硬化。氟化物通常是孩子们喜欢的水果味道,整个涂氟过程几分钟就可完成,完全不疼。

涂氟之后就不用担心蛀牙了吗?
尽管涂氟防蛀牙非常有效,但并不是说涂了氟,孩子不刷牙都不会长蛀牙了。刷牙依然是防蛀牙最重要的手段。只有把口腔卫生做好了,蛀牙才会无处发生,而涂氟,正是锦上添花的防龋方式。除了常规涂氟之外,我们要养成良好的口腔卫生习惯,每天正确有效的刷牙方式,建议用少量含氟牙膏刷牙,每天两次,每次不少于两分钟。
目前,涂氟的氟化物有氟涂料、氟凝胶、氟泡沫等。目前使用较多的为氟保护漆。其操作时间短,涂在牙面后不用隔湿,味道好,易被儿童接受。


口腔保健中心
开展的项目有:龋齿治疗、牙体缺损修复、牙周病治疗、超声波洁牙,牙拔除术,氟防龋治疗、窝沟封闭等,同时开展儿童口腔生长发育指导,全面推广龋风险评估、儿童口腔行为管理及宣教指导,为群众的口腔健康保驾护航。
上班时间:周一至周日;上午8:00-11:30、下午14:30-17:30
咨询电话:7370085