
世界唐氏综合征日还记得第一次在B超屏幕上,看到那个扑通扑通的小小心跳吗?每一对父母都曾对着模糊的影像想象孩子的模样——ta会爱笑吗?跑得快吗?未来会成为怎样的人?

2025年3月21日,我们即将迎来第14个世界唐氏综合征日,今年的主题是“ 关注唐氏,支持和行动”。每20分钟,世界上就有一个唐氏儿呱呱坠地,关于唐氏综合征,各位准爸妈们真的足够了解吗?
一、什么是唐氏综合征
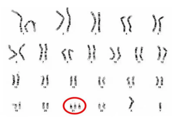
唐氏综合征又称21-三体综合征,先天愚型,是由于21号染色体异常导致的染色体病,是人类最早发现、最为常见的染色体畸形。

二、唐氏综合征有哪些特征性表现?

1.特殊面容:眼距宽,眼裂小,鼻根低平,舌胖,常伸出口外。流涎多。身材矮小,四肢短,由于韧带松弛,关节可过度弯曲,手指粗短,常见通贯掌纹、草鞋足,拇趾球部约半数患儿呈弓形皮纹。2.智力障碍:其智能低下表现随年龄增长而逐渐明显。3.性发育延迟:男性患儿长大后不会有生育能力;女性患儿长大后有月经,有可能生育。4.患儿常伴有其他结构畸形:如先天性心脏病,且因免疫功能低下,易患各种感染。
三、为什么一定要做唐氏筛查?

唐氏筛查的目的在于通过化验孕妇的血液来判断胎儿患有唐氏综合症的危险程度。唐氏综合症的发病率大约为1/600-1/800。唐氏儿由于智力严重低下,生活完全不能自理,并且携带多系统并发症,终生无法治愈,给家庭带来沉重的精神和经济负担。据统计,在国内平均每位唐氏儿带给家庭和社会20万元经济负担,在国外,这个数字则是50万美元。所以,为了宝宝的健康和未来,每位准妈妈都应该做唐氏筛查。
四、如何预防唐氏综合征?

因为唐氏综合征尚无有效治疗方法,做好产前筛查和遗传咨询,适龄怀孕,避免高龄生产,是预防唐氏综合征的关键。筛查孕周:妊娠早期在孕11-13+6周进行,如果错过妊娠早期的唐氏综合征筛查,也可以在孕中期15-20+6周进行血清学筛查。
减免政策:根据广东省的政策,夫妻双方一方是广东省户籍或持有效《广东省居住证》的流动人口孕妇,预产期年龄<35周岁可以享受唐氏筛查的费用减免服务。筛查前须知:检查当日携带夫妻双方身份证及母子健康手册或门诊病历来四楼孕产期健康管理中心,按预约挂号时间(建议9点前)就诊。
五、唐筛有异常,怎么办?

当孕妇接到唐筛异常的电话后,也不要过度焦虑。尽快到医院咨询后续的处理方案。唐筛异常人群中最终确诊有问题的还是少数,大多数是正常的。进一步检查的方案一般有两种,羊水穿刺或母血无创DNA检查,羊水穿刺对于染色体异常能够确诊,属于介入性操作,还是比较安全的。母血无创DNA检查属于高精度筛查对于21三体(唐氏)的检出率能够达到99%以上。
每个生命都值得最好的开始,
生育就像种下一颗种子,
在最适合的时候播种,
用支持和行动
关爱我们的下一代。